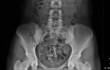
1. Lance Armstrong "bersekrup
Ini adalah gambar sinar-x selangkangan juara Tour de-France, lance armstrong.

Ini adalah gambar sinar-x selangkangan juara Tour de-France, lance armstrong.

2. Bertindikan tombak nelayan
Emerson de Oliveira Abreu menemukan pengalaman yang sangat mengerikan saat menyelam di lepas pantai Rio de Janeiro ketika otaknya tertembus dengan tombak 6 inch. Laporan mengatakan, ia sendiri memiliki tombak yang menusuknya, menembak ke arah karang tetapi memantul kembali, dan akhirnya menyogok tulang tengkorak nya begitu dalam. Dia berada di bawah pisau (operasi) selama 5 jam sebelum ia sendiri terkejut dan menyatakan keluar dari bahaya. Wow!!!!!!!

3. Terhunus dalam tengkorak
Michael Hill dari Jacksonville Florida ditikam di kepalanya dengan 7-inci pisau oleh orang tak dikenal yang muncul di depan pintu, 2007 lalu. Dia saat ini memegang Guinness World Records, Judul: "Objek Terbesar yang dikeluarkan dari tengkorak manusia."

4. Gadis Cina yang Menyedihkan
X-ray dari Luo Cuifen, seorang gadis Cina berusia 29 tahun yang ditemukan memiliki 23 jahit jarum dalam tubuhnya. Cui fen mengeluh tentang darah di urin ,akhir 2007 dan ketika dokter melakukan x-ray-nya, menemukan jarum jahit mengambang dan tersebar di tubuhnya, itu menancap di ginjal, hati, paru-paru dan organ vital lainnya. Telah ada spekulasi bahwa jarum dimasukkan ketika dia masih bayi, karena beberapa jarum sudah patah berkeping-keping. Dia mengatakan bahwa kakek-neneknya pasti yang bertanggung jawab atas hal ini karena mereka mengharapkan anak laki-laki ketika ia dilahirkan. Namun ini tidak akan pernah bisa dikonfirmasi karena kedua-duanya kakek-neneknya meninggal. Perasaannya pasti terluka mengetahui hal ini ...

5. Anak Afghanistan Ditusuk
X-ray dari anak laki-laki Afghanistan 10 tahun ditikam di kepala dalam-dalam ketika ia berusaha untuk melindungi ayahnya dari seorang pelanggan yang telah pergi mengamuk. Ia diselamatkan dan dioperasikan oleh Britain's Reserve Teritorial Angkatan Darat dan telah selamat dari insiden mengerikan ini.

6. Kaki kursi di dalam rongga mata
Mengerikan. x-ray tengkorak Shafique el-Fahkri, remaja 19-tahun dari Melbourne, Australia. Dia dilarikan ke rumah sakit terakhir Februari 2007, setelah ia diserang oleh remaja lain berusia 19 tahun di sebuah bar perkelahian di sebuah klub malam. Dia dihunus dengan kursi dan salah satu kaki kursi itu menembus kepalanya, tepat di bawah matanya langsung ke lehernya. Itu kursi logam gan!
Logam telah berhasil dihapus dari kepala remaja setelah tiga jam operasi kompleks.

7. Kecelakaan Nailgun
X-ray Patrick Lawler, 23 menunjukkan empat inci paku tertanam di kepalanya, diambil bulan Januari 2005. Kecelakaan itu terjadi 6 hari lalu ketika Lawler mengalami kecelakaan konstruksi di mana nailgun menjadi bumerang dan satu paku menembus mulutnya. Dia tidak melihat paku di mulutnya hanya sampai ia merasakan sakit gigi yang sangat menyakitkan disertai dengan visi yang kabur.
Setelah kunjungan ke dokter gigi dia menyadari apa yang ada di dalam kepalanya selama hampir satu minggu. Itu dihapus setelah 4 jam operasi meninggalkan dia dengan kurang dari US $ 100,000,- tagihan rumah sakit. Oh tidak.

8. Balita dengan kunci Mobil bersarang di otaknya
Mengerikan! x-ray Nicholas Holderman ketika ia berusia 20 bulan. Dia sengaja ditusuk dengan kunci di matanya saat bermain di ruang tamu dengan kakak-kakaknya. Dokter mengeluarkan kunci dari matanya, tanpa kerusakan otak. TUHAN MAHA PENYAYANG!

9. Kecelakaan nailgun yang lebih dahsyat!
Pekerja bangunan, Isidro Mejia, jatuh dari atap, sayangnya jatuh di atas rekan kerja lain dengan menggunakan paku pistol. 6 paku melaju ke kepala Mejia, menghujum otaknya dan pangkal tengkoraknya. Ia selamat dari operasi!


10. Gadis Cilik Pemberani
Gadis berusia 8 tahun dari Indiana dilarikan ke rumah sakit setelah dia sengaja menelan bola-bola baja dan magnet dari set mainan. Ia segera dioperasi, selamat dari operasi setelah dirawat di rumah sakit selama 2 minggu.

11. Anjing penelan pisau
Seekor Saint Bernard menelan pisau 13-inch pada tahun 2005. Dia baik-baik saja setelah operasi dan kejadiannya hanya meninggalkan bekas luka 8-inci.

12. Sisir adalah pembunuh.
X-ray Louis Pepe, ketika dia ditikam oleh sisir dalam tengkorak, pada tahun 2000. Ia kehilangan mata kiri dan mata kanannya yang terkena juga. Sisir menyebabkan dia banyak kerusakan: melumpuhkan lengan kanan dan kaki dan kemampuannya untuk berbicara. Penyerang dijatuhi hukuman 23 tahun penjara, gak adil ya gan?

13. Resiko mengalami pembedahan
Gunting bedah 6 inch tertinggal di dalam perut wanita setelah operasi. Pat Skinner, telah menjalani operasi di tahun 2004 untuk operasi usus besar di sebuah rumah sakit di Sydney, Australia. 18 bulan setelah operasi, dia menderita sakit luar biasa di perutnya. Ketika dia melakukan x-ray, mereka menemukan gunting 6,7 inci . Traumatis.

14. Pisau itu haram?
Seorang anak laki-laki berusia 16 tahun ditikam di kepala dengan pisau pada tahun 2007. Insiden supermarket yang tidak biasa.

15. Laki-laki dengan paku di tengkorak
Pria Korea Selatan mengeluh tentang sakit kepala yang sangat buruk dan dokter menemukan sebuah paku berkarat beristirahat di dalam kepalanya. Dokter mengatakan bahwa paku itu tertanam di dalam tengkorak empat tahun sebelumnya. Itu sangat sangat lama!

sumber :http://terselubung.blogspot.com/2010/10/hasil-foto-x-ray-yang-ekstrim.html




0 comments:
Posting Komentar